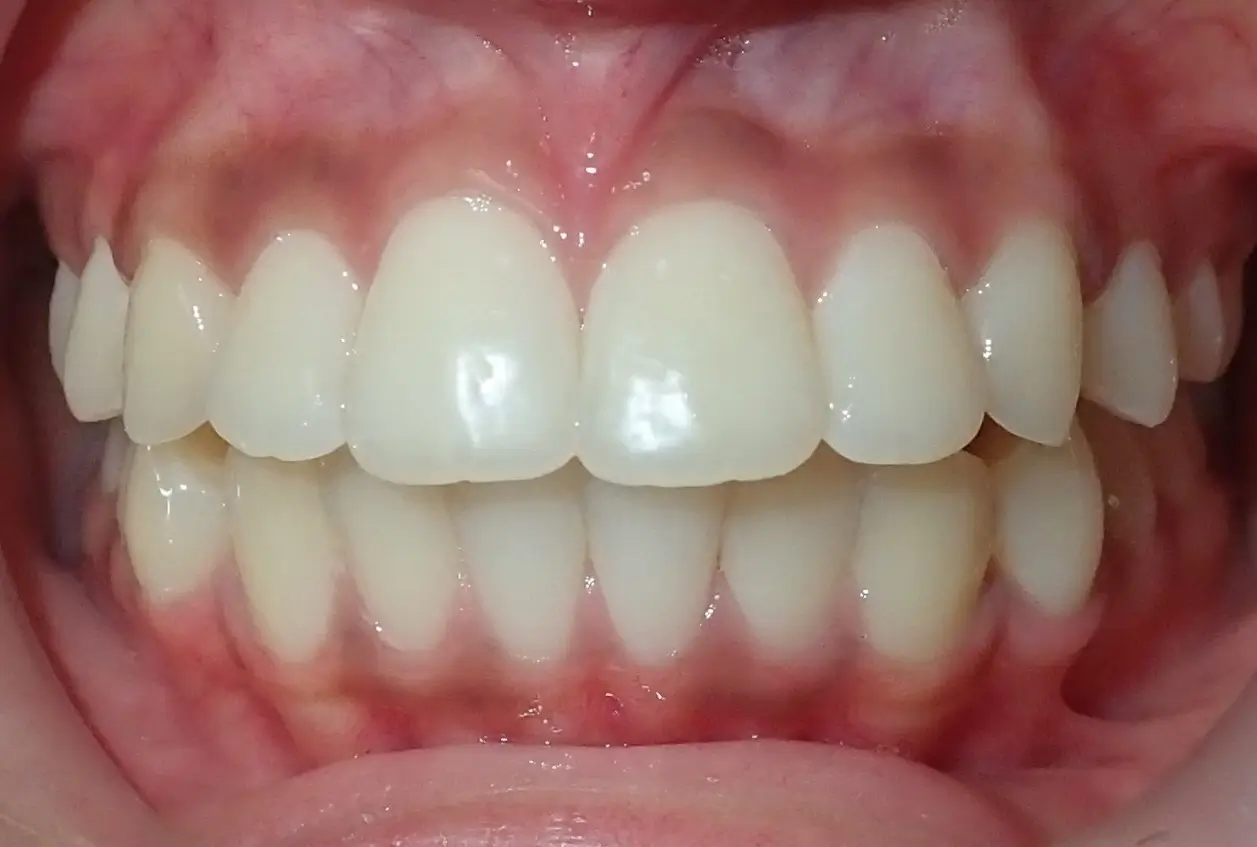
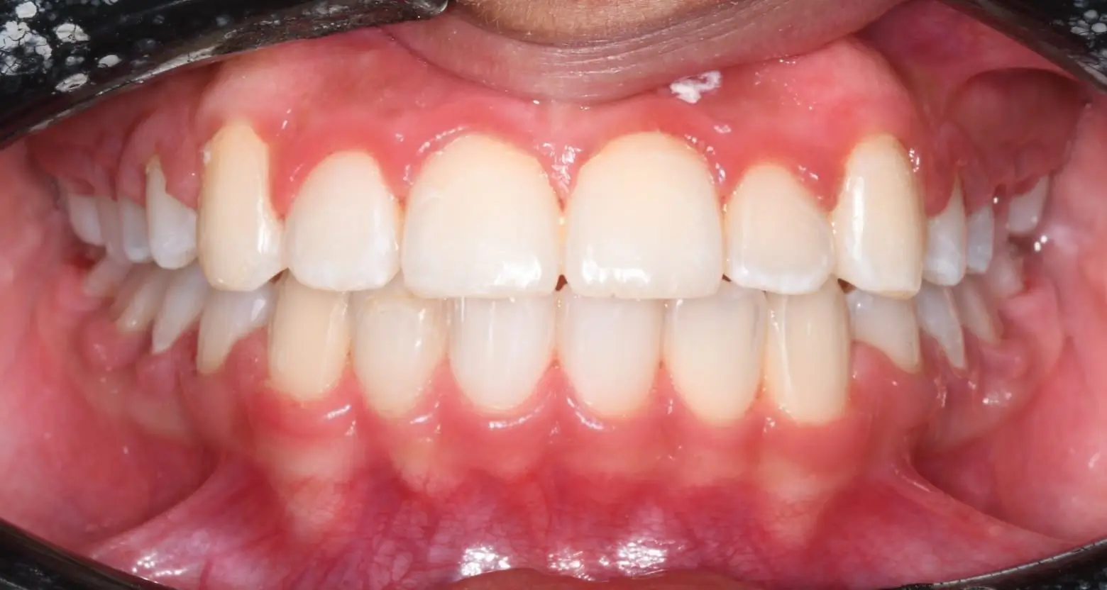
1. Anterior Crossbite (Underbite)

Before

After
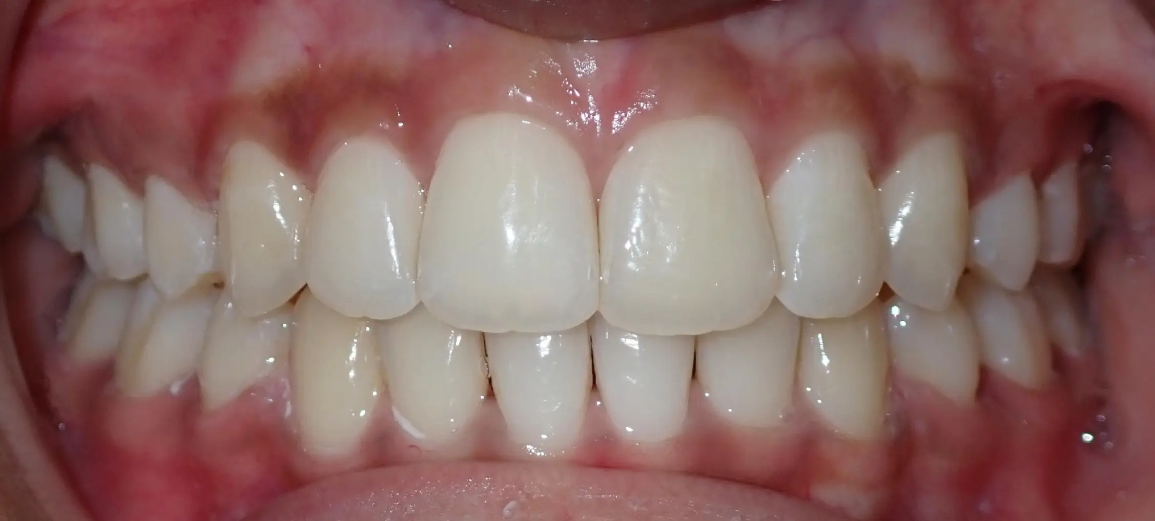
2. Anterior Crossbite Phase I

Before

After

Before

After
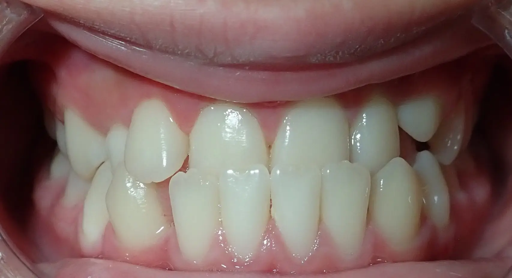
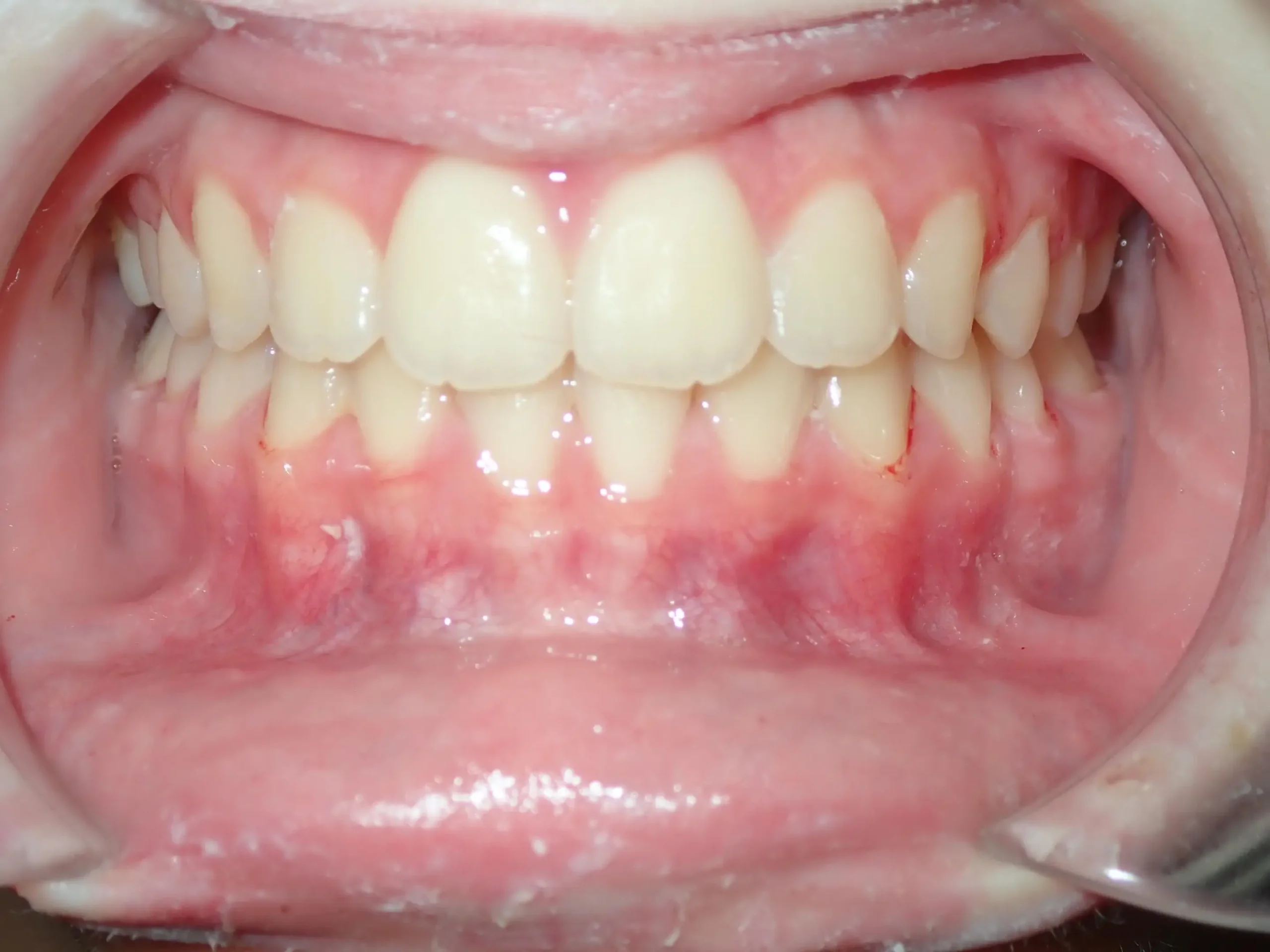
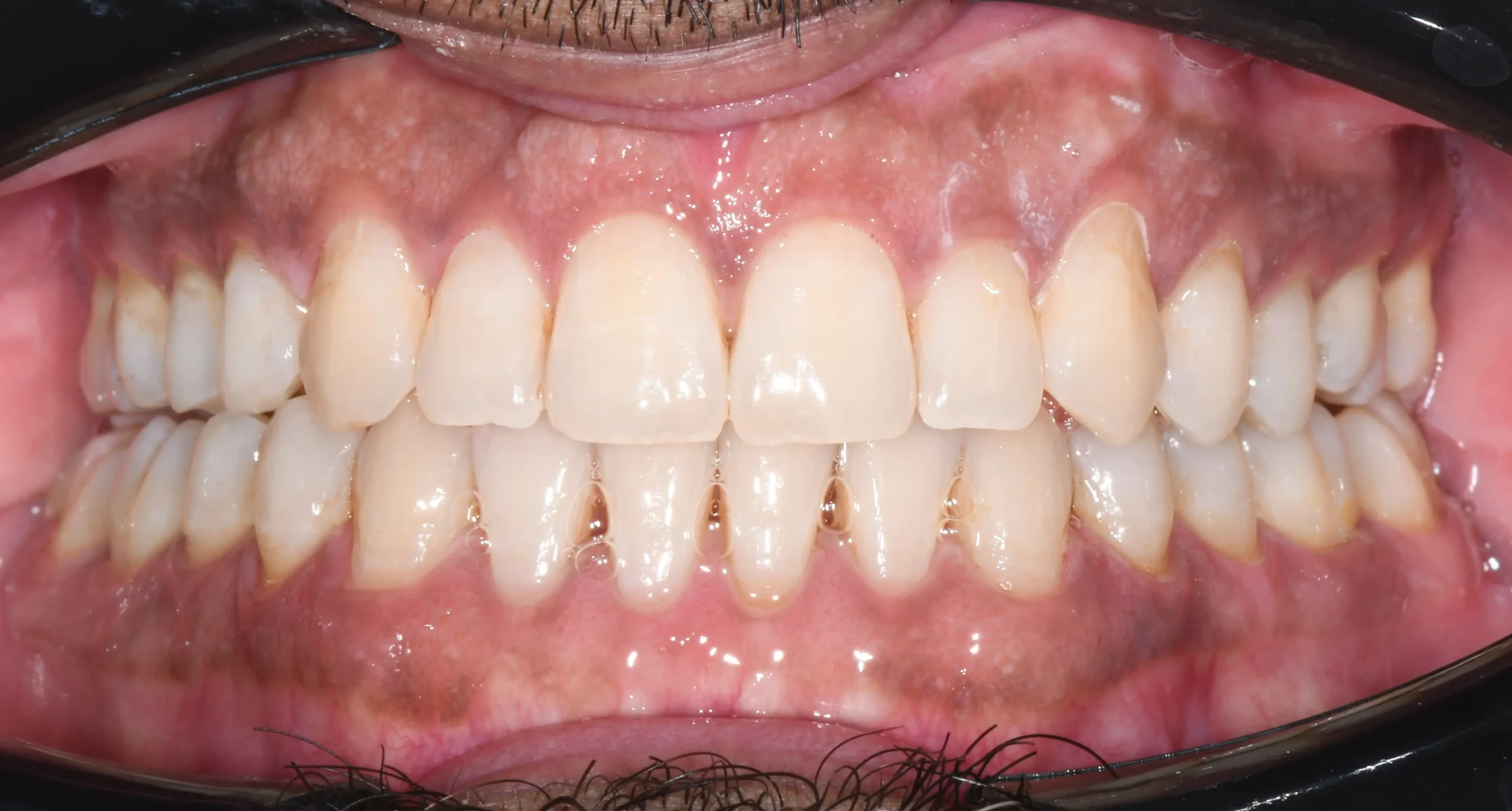
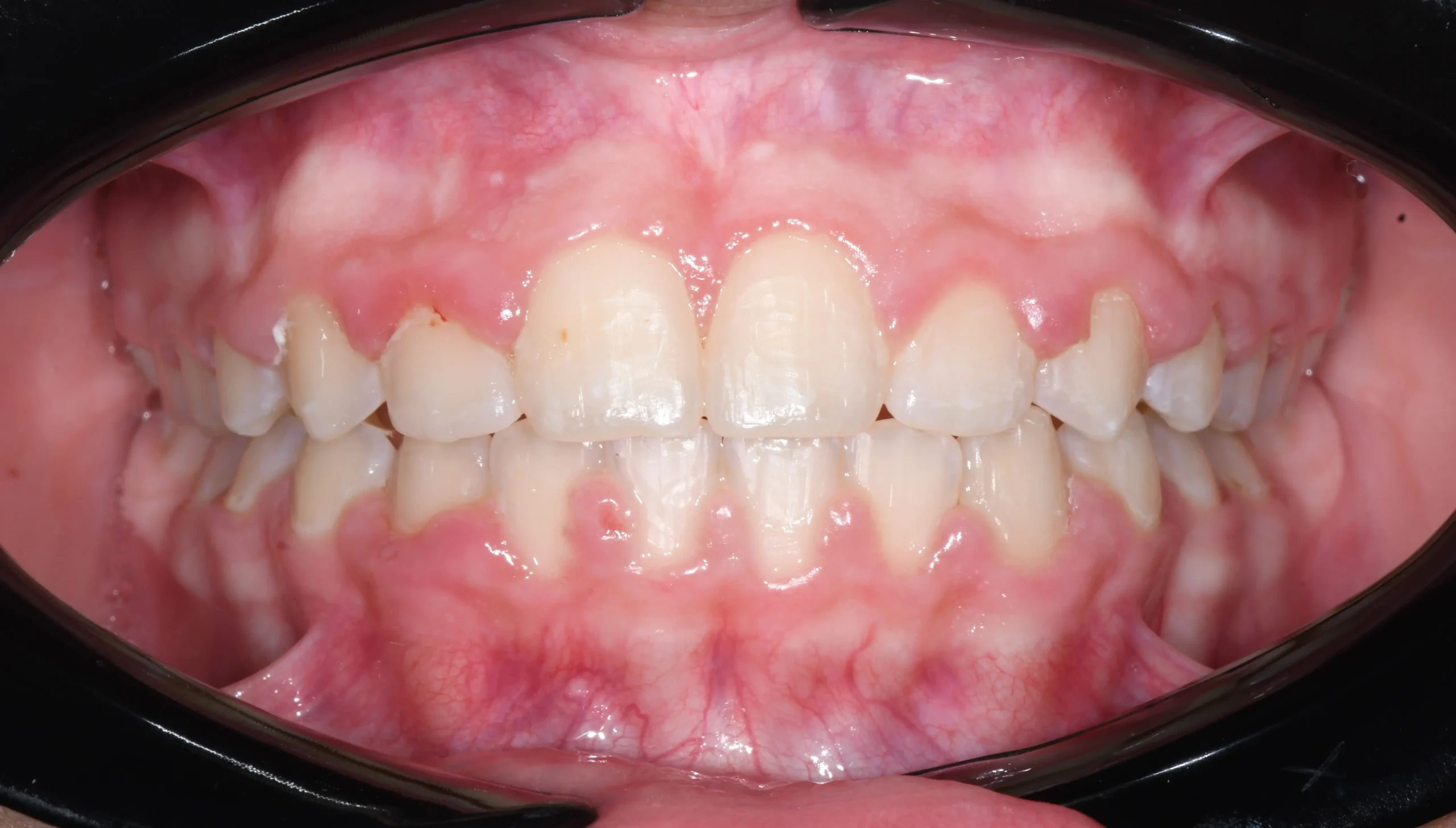
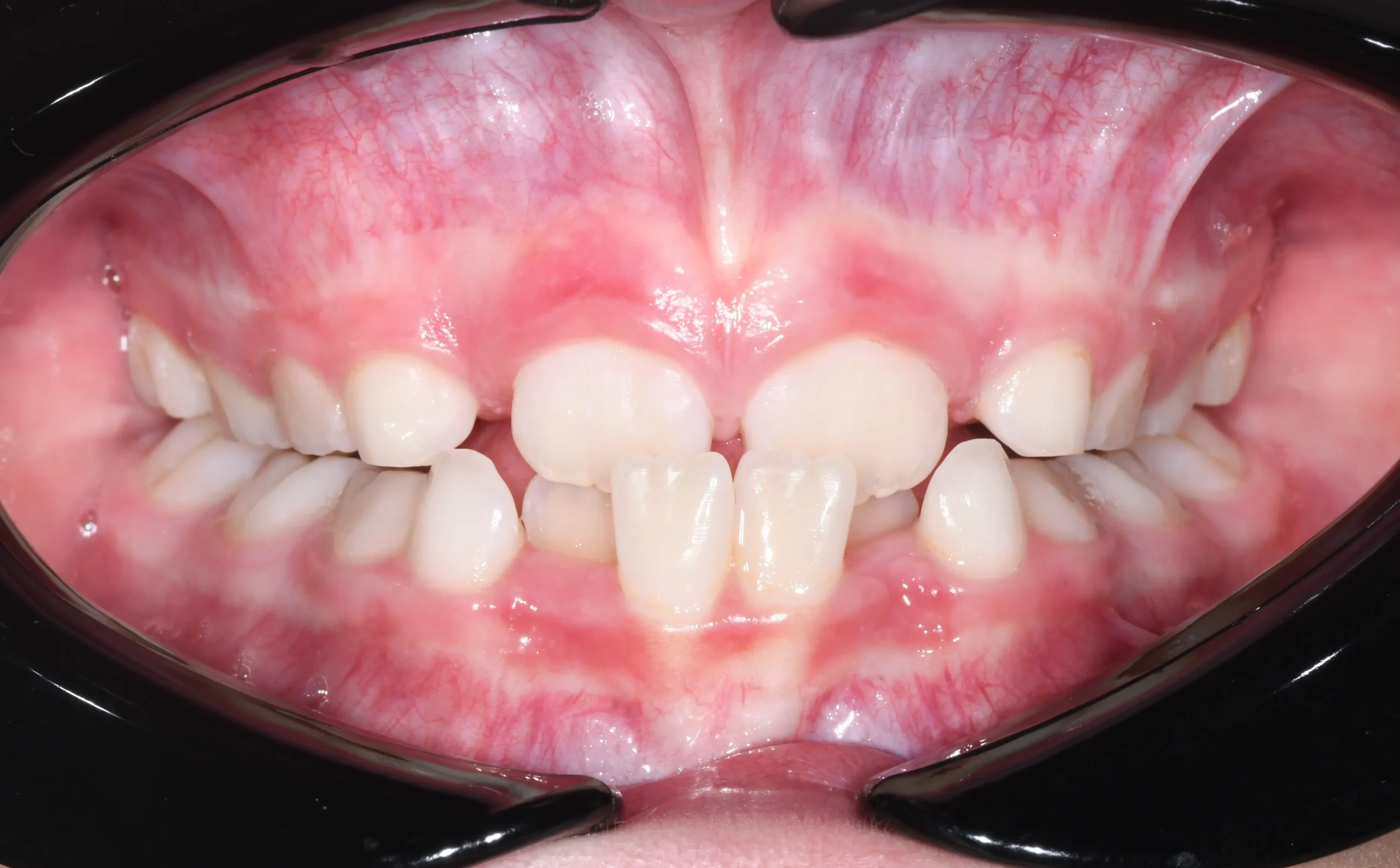
3. Crowding with Shifted Midlines

Before

After
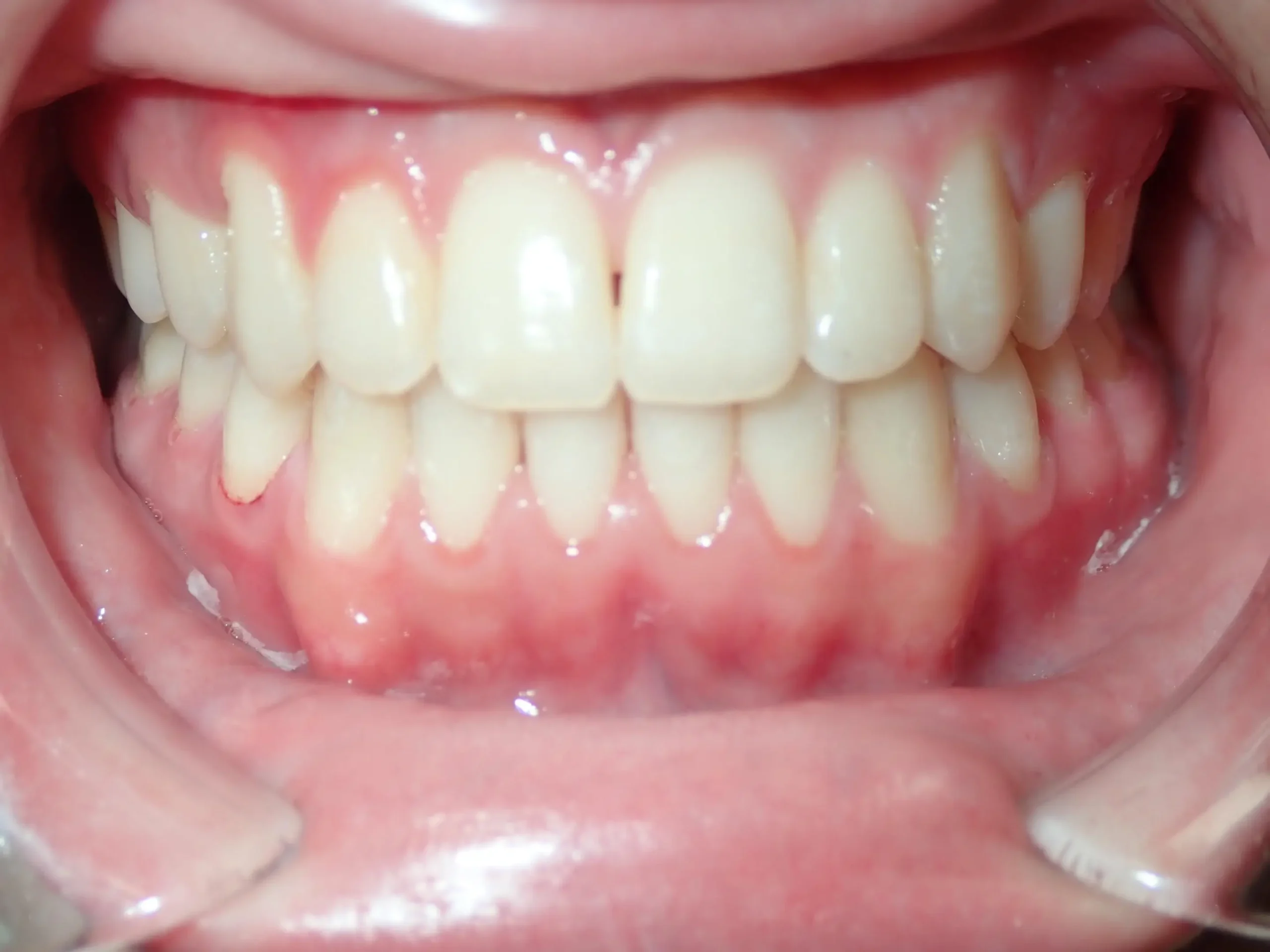
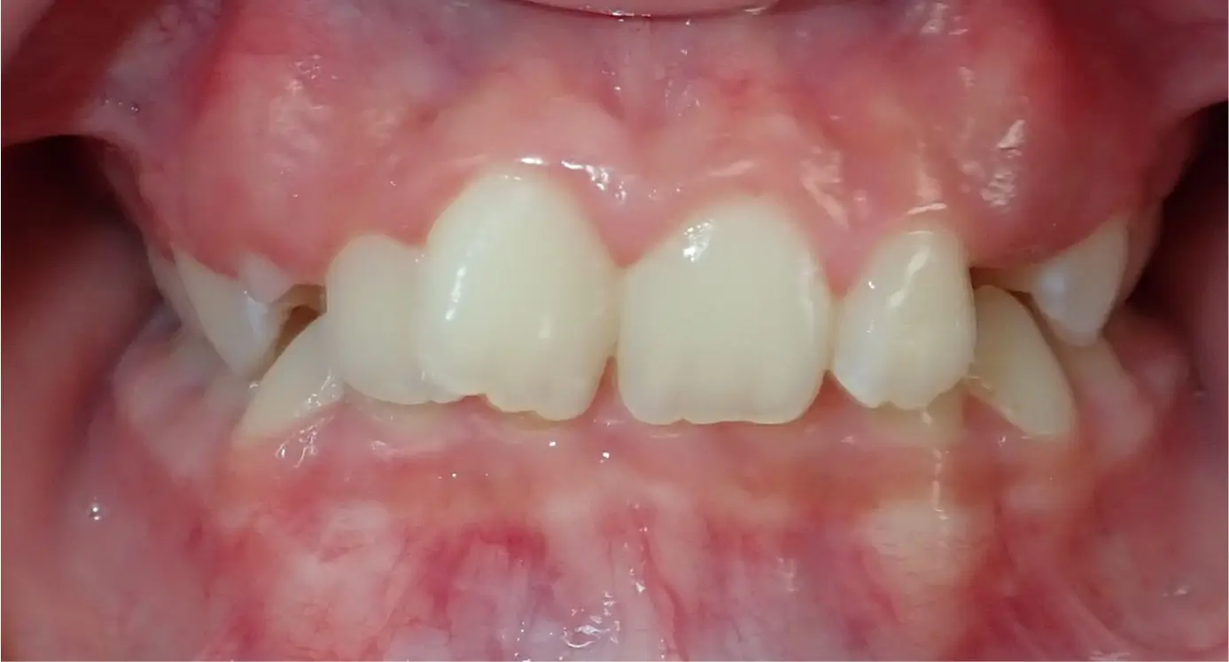
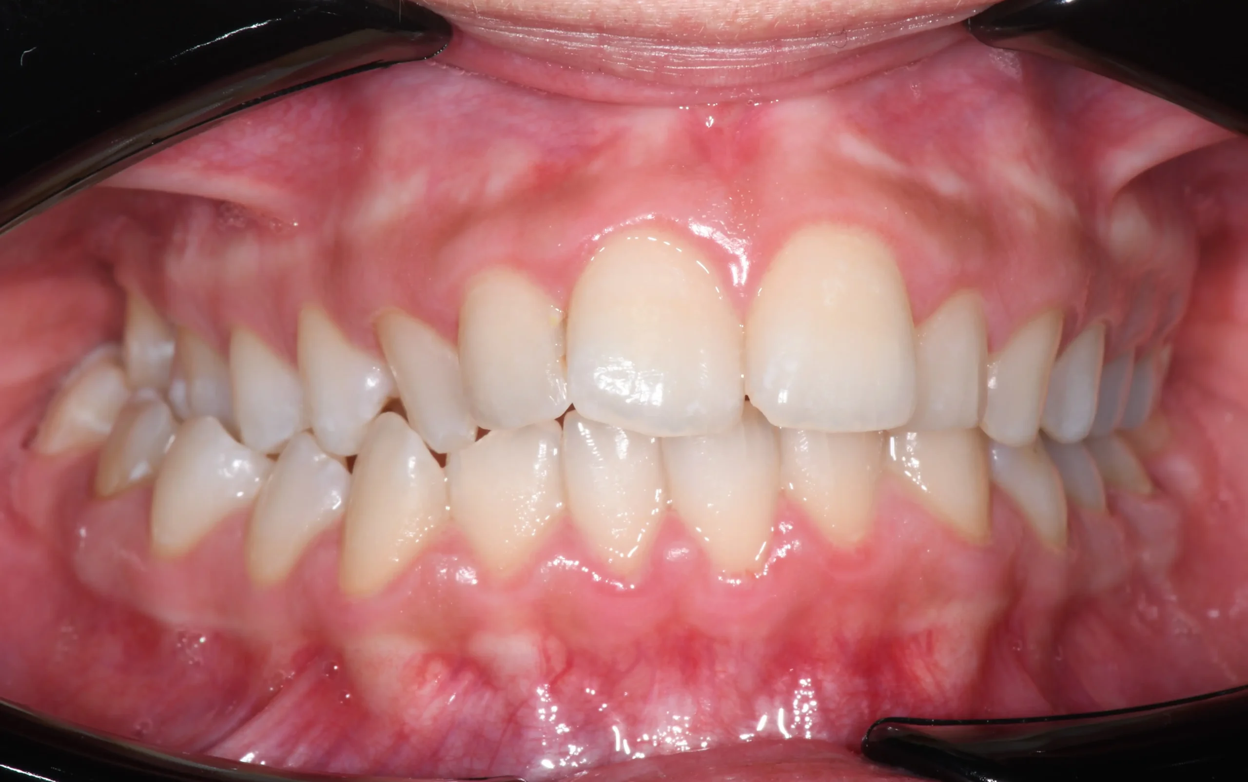
4. Unilateral Crossbite with severe midline Deviation

Before

After
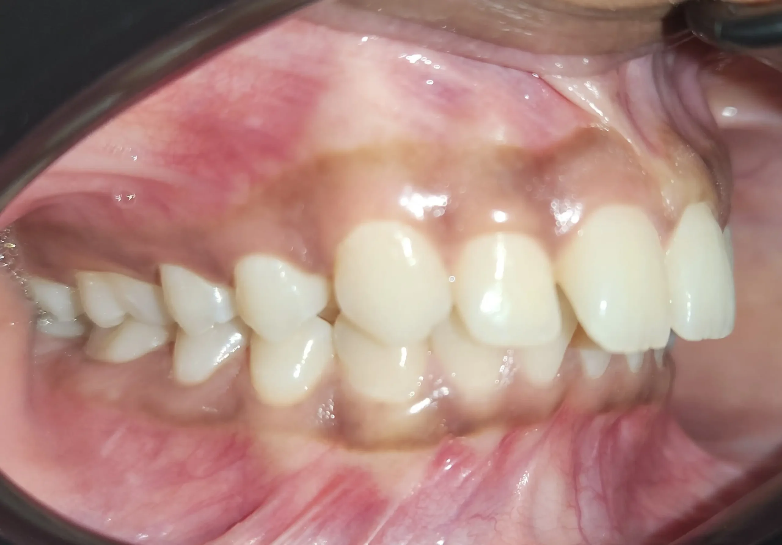
5. Unilateral Crossbite w/ Aligner

Before

After
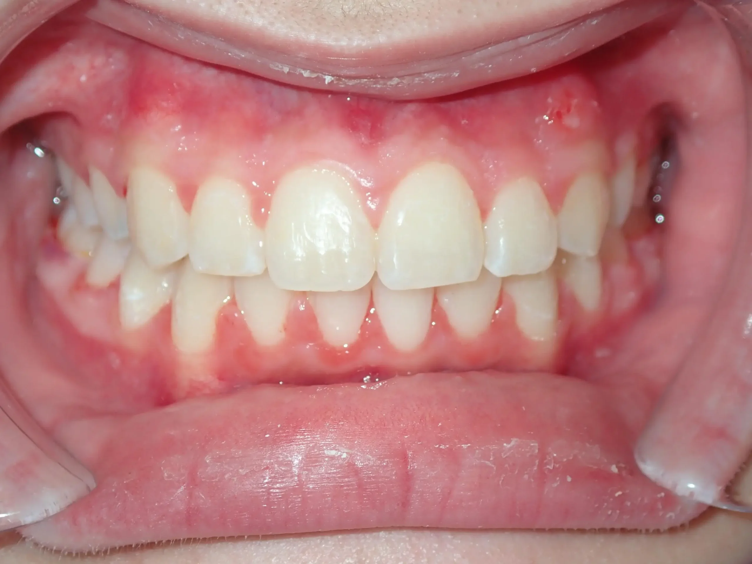
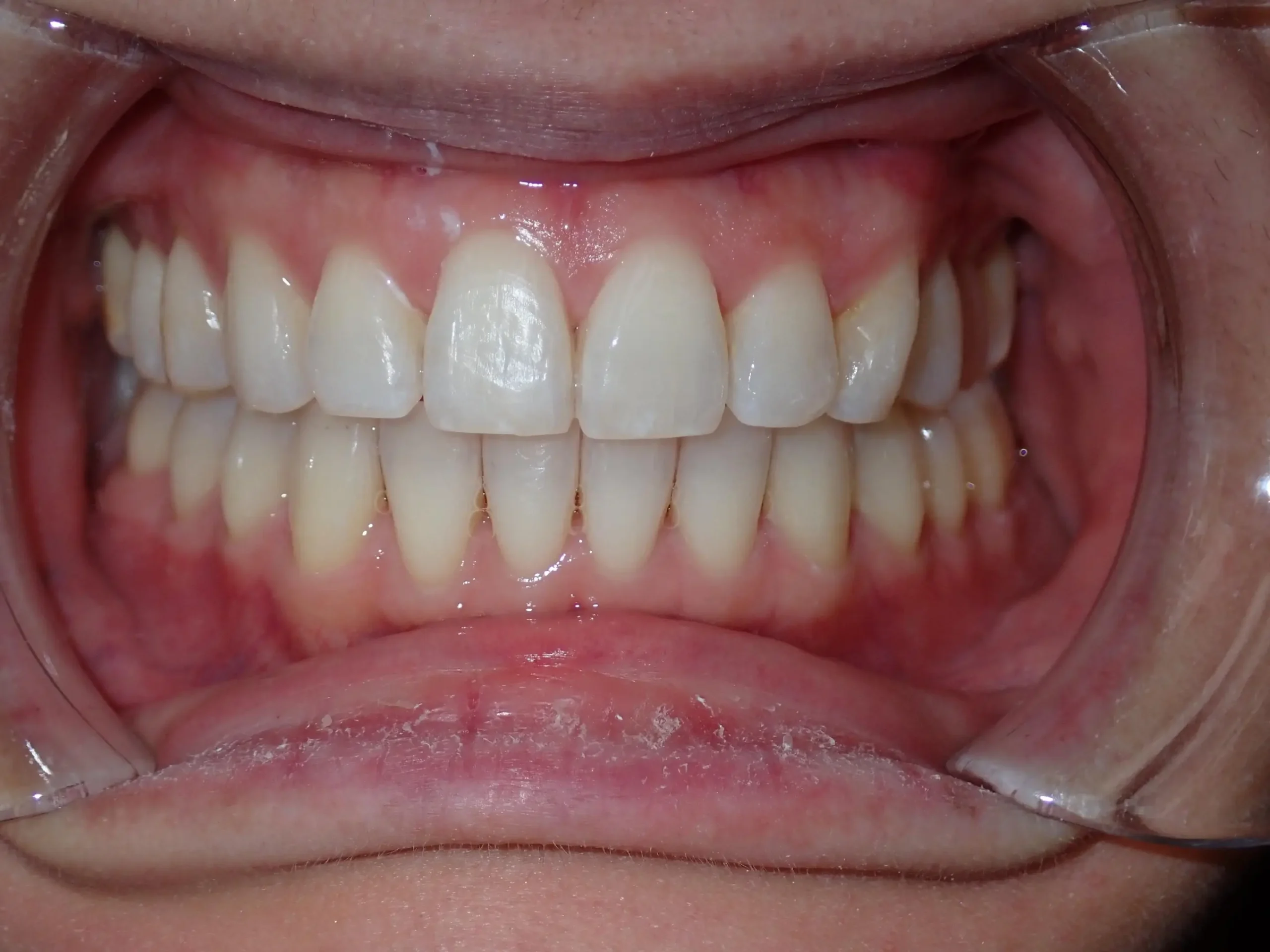
6. Deep Overbite

Before

After

Before

After
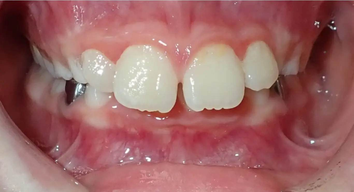
7. Peg Laterals w/ Veneers

Before

After
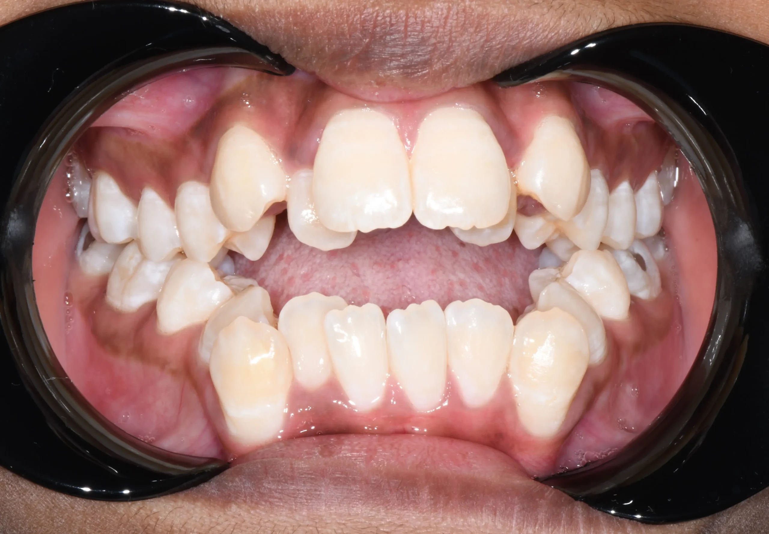
8. Severe Crowding without Extraction

Before

After

Before

After

Before

After
9. Anterior Openbite

Before

After

Before

After
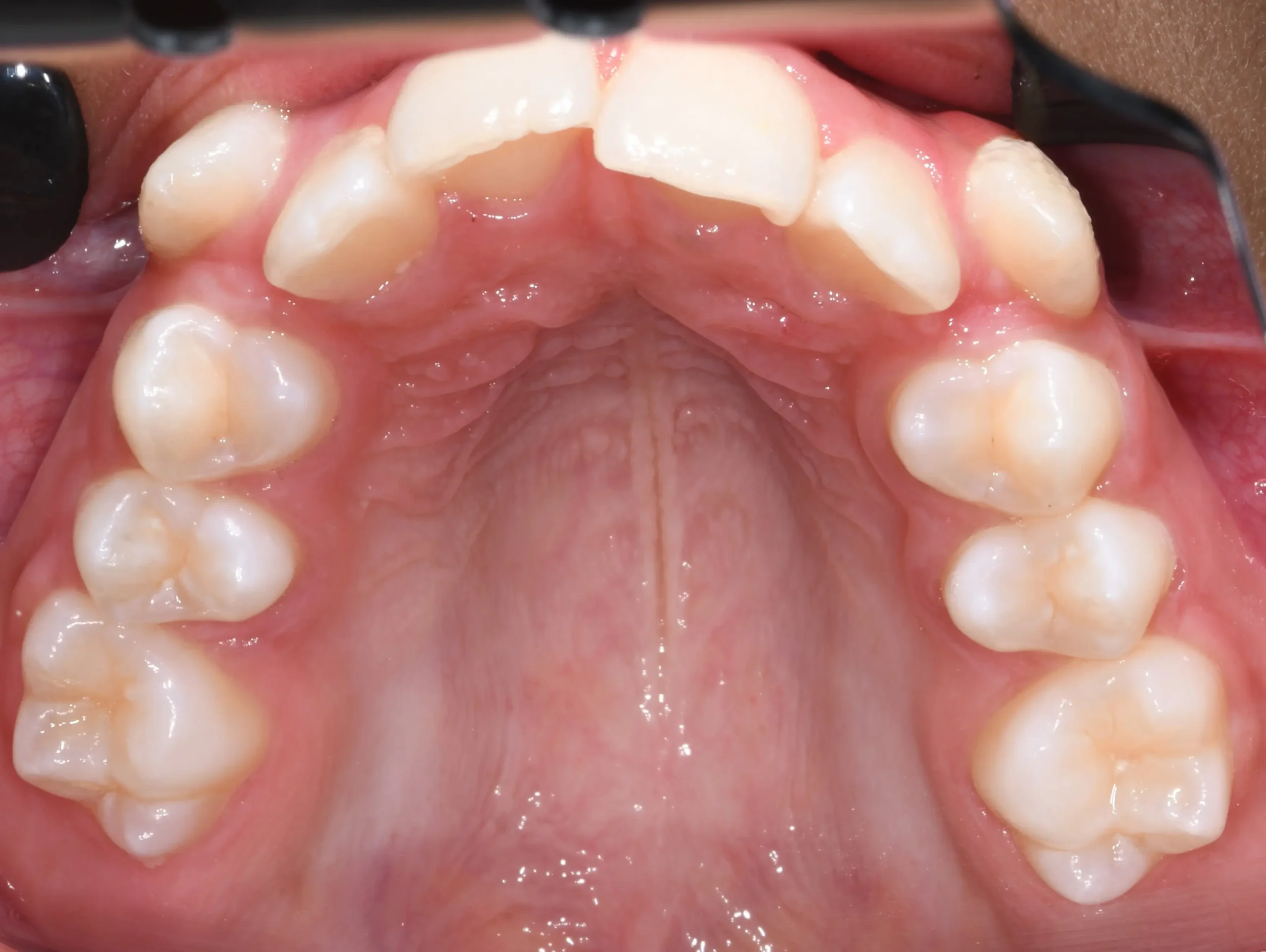
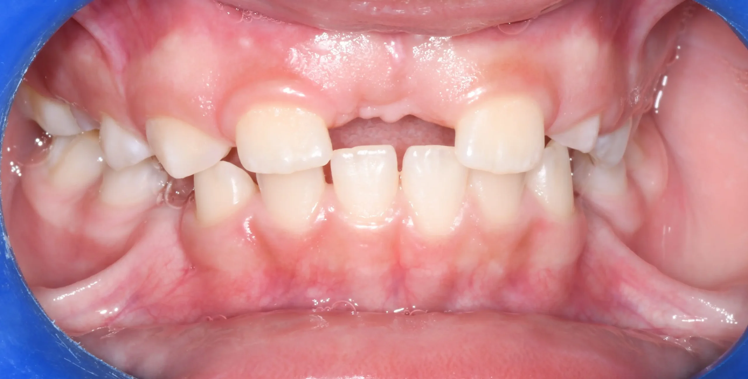
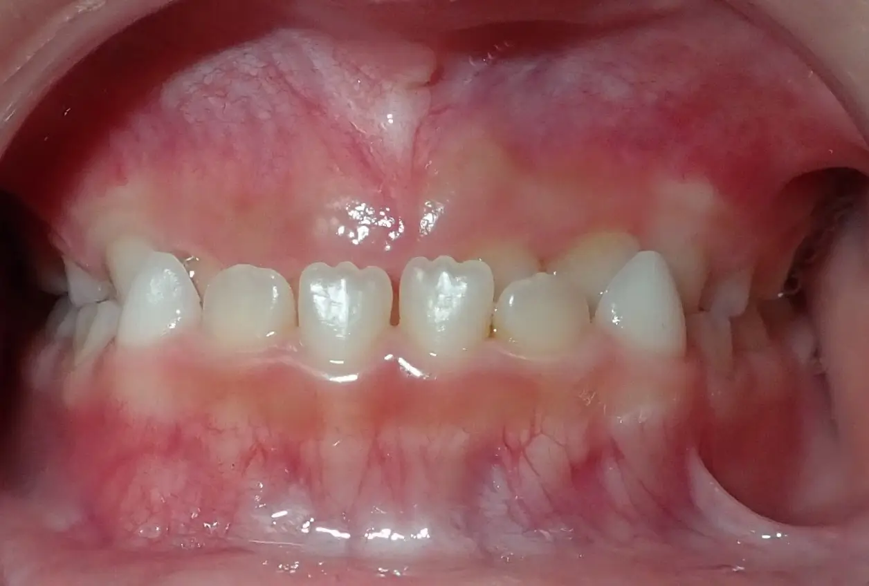
10. Impacted Upper Incisors

Before

After
11. Class II

Before

After

Before

After
Invisalign

Before

After
Underbite

Before

After
Crowning with Shifted Midlines

Before

After
Deep Impinging OB

Before

After
Deep Impinging OB

Before

After
Peg Laterals w/ Veneers

Before

After
Severe Crowding Non Extraction

Before

After
Severe Crowding Non Extraction

Before

After
Severe Crowding Non Extraction

Before

After
Unilateral Crossbite w/ Alginer

Before

After
Unilateral Crossbite w/ Severe Midline Deviation

Before

After
Impacted Upper Incisors

Before

After
CII

Before

After
CII

Before

After
Anterior Open Bite

Before

After
Anterior Open Bite

Before

After
Anterior Crossbite Phase I

Before

After
Anterior Crossbite Phase I

Before

After
What our patients say
Dr. Mo is hands down the best orthodontist I've ever met! I came to him with a crossbite and started my Invisalign journey feeling a little nervous, but he made the entire process smooth, clear, and incredibly reassuring. From the very first consultation to the final aligner, Dr. Mo was always patient, professional, and detail- oriented. He explained every step of the treatment in a way that made me feel confident and informed. Thanks to his expertise, my teeth are now perfectly aligned, and I couldn't be happier with the results!
The front desk team at this clinic is also fantastic -always friendly, welcoming, and efficient with scheduling and reminders. The assistant who worked alongside Dr. Mo was great too-very gentle, organized, and made sure I was comfortable at every visit.
If you're considering Invisalign or any orthodontic treatment, I cannot recommend Dr. Mo enough. He truly changed my smile, and I'm beyond grateful for the care I received at this clinic!
The front desk team at this clinic is also fantastic -always friendly, welcoming, and efficient with scheduling and reminders. The assistant who worked alongside Dr. Mo was great too-very gentle, organized, and made sure I was comfortable at every visit.
If you're considering Invisalign or any orthodontic treatment, I cannot recommend Dr. Mo enough. He truly changed my smile, and I'm beyond grateful for the care I received at this clinic!
Mohammed Al-Zubaidi
We have had a fantastic experience with Dr. Mo and his team! I have three kids who were in braces/invisalign at the same time so I felt like I lived at his office. The staff was always friendly and easy to work with, and Dr. Mo was wonderful.
Kathryn Raab
To begin with, this clinic offers the most competitive pricing within the area. Dr. Osman's Invisalign treatments have yielded exceptional results. His dedication to patient care is evident in the outcomes achieved. Furthermore, the entire staff consistently provide attentive care to all patients.
Dr. Osman and his staff have been extremely professional. I was seen in a timely manner and felt as though he really listened to my concerns and gave me insight based on what was in my best interest. He was honest, explained the results I should expect, and made me feel comfortable. Highly recommend!
